Welcome to Best Dentist in Delhi
Customer Care: +91-120-4103510
Teeth Whitening
People turn to teeth whitening kits to brighten their smile and whiten their teeth for many reasons. The most obvious reason is that a person's smile is one of the first things that people notice when they meet someone. Yellowed teeth is a sign of aging, and as people age, their teeth naturally gets dull and yellowed. Whiter smiles by teeth whitening kits make people look younger, healthier, and more attractive, and that is something that people can pay a dentist to do or they can do it themselves at home when it is convenient for a mere fraction of what a dentist charges.

  • Technology in dentistry today has given us many great innovations and ways to take care of our teeth, and one of these is the home teeth whitening kit. There are many different types of kits. The one provided at our clinic uses peroxide and gel strips and takes 3 days per treatment with dental trays with gels. A home teeth whitening kit can be a very useful tool for people who wants to get their teeth whitened at the comfort of their home. The home teeth whitening kit is revolutionary in dental care treatment at its best, and it uses the latest techniques that are also used by professionals. In general, the teeth whitening kit that people use at home is designed to be quick and simple . The kit includes a special gel, the applicator to use with it, the dental tray that is specifically designed for the kit, and of course, instructions. Basically, you apply a small amount of gel inside the dental tray and insert it into your mouth.
  • The in-office kind of teeth whitening kit is one that uses a special light and a special gel that will whiten teeth several shades in minutes. These kits are becoming more and more popular every day. Such whitening systems that use advanced light can remove not only surface stains, but also the deep, embedded stains that have set in for years. The light used in a teeth whitening kit penetrates deep into the teeth to remove coffee stains, stains from drinking tea, ones from smoking, drinking red wine, fruit juice, and normal discolorations due to aging. In office bleaching, it is just as effective and offer the same advantages that laser whitening systems provide and there is no harm to your teeth, because nothing touches them but light.
  • There are two types of tooth stains:
  • INTRINSIC STAINS (Internal stains):
  • This means the stain occurs from within the tooth. This type of stain cannot be removed by brushing and flossing and sometimes bleaching may not be effective. Some causes of intrinsic staining are injury to the tooth, certain medications (such as tetracycline) taken during tooth formation stage or an excess fluoride ingested during the formation of teeth.
  • EXTRINSIC STAINS (External stains):
  • This is staining of the tooth surface. Some sources of extrinsic stains are cigarettes, cigars, paan masala , coffee, tea, or foods that contain a lot of spices. This type of staining can sometimes be removed by good tooth brushing habits or by professional oral prophylaxis (scaling).
  • Occasionally people experience temporary discomfort during the bleaching treatment, such as tooth sensitivity. These symptoms are transient & disappear within one to three days after completion of the treatment. It is important that the manufacturer’s directions are followed precisely. Overall, tooth bleaching under professional supervision is an effective method for whitening the teeth.

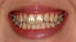
Before

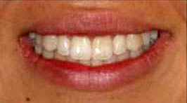
After

Before

After